Schöne Zähne heben das gesamte Wohlbefinden. Bei verfärbten, unschön geformten oder nicht eng aneinander liegenden Zähnen können wir mit modernen Methoden den optischen Eindruck der Zahnfront korrigieren und optimieren. Auch wenn keine medizinische Notwendigkeit besteht, sind wir in reinen Fragen der Zahnästhetik genauso gerne und kompetent für Ihre Wünsche da.
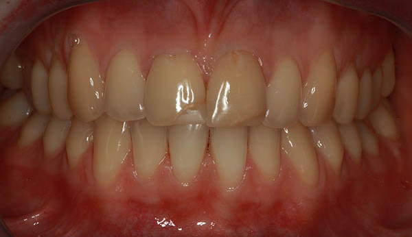
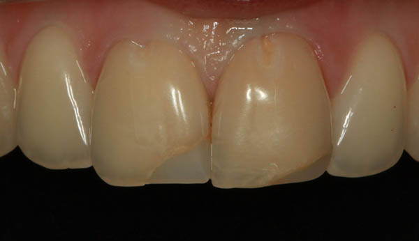
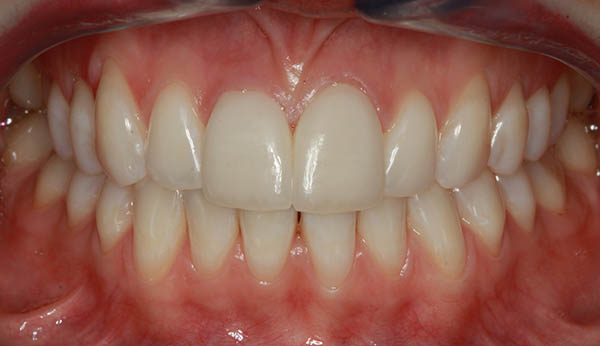
Um Fehlstellungen oder Farbveränderungen der sichtbaren Frontzähne zu korrigieren, können sogenannte Veneers helfen. Diese Veneers sind dünne Verschalungen der Zähne, bestehen meist aus Keramik und sind gleichsam ein zahnfarbenes „Kleid“, das Ihre Zähne erhalten. Veneers ermöglichen es in kurzer Zeit, das Aussehen der Zähne zu verändern.
Veneers werden individuell hergestellt und sind hauchdünn, fast durchsichtig, sehr gut zahnfleischverträglich und nur ca. 0,4-0,8 mm stark. Sie ermöglichen Form- und Farbkorrekturen und können auch beschädigte und durch Karies oder einen Zahnunfall verlorene Zahnsubstanz ersetzen. Unschöne Zahnoberflächen werden so neu gestaltet und Fehlbildungen korrigiert. Da Veneers so dünn sind, muss zur Befestigung meist nur wenig, manchmal sogar keine Zahnsubstanz zur Befestigung abgeschliffen werden – sog. Non-Prep-Veneers. Die Befestigung selbst erfolgt mit einer speziellen Klebetechnik. Durch dieses Adhäsiv-Verfahren entsteht eine Einheit aus Veneer und Zahnschmelz – in der Ästhetik kaum von natürlichen Zähnen zu unterscheiden. Natürliche Schönheit, ein natürliches Aussehen ist das Ziel. Professionell eingesetzte Veneers wirken nicht aufgetragen und halten lange.
Jeder Patient mit gesunden Zähnen und einem normalen Biss kann Veneers tragen. Wer allerdings nachts mit den Zähnen knirscht (Bruxismus), sollte eine Zahnschiene tragen. Wer einen Fehlbiss, eine Zahnfleischerkrankung oder eine Zahnhöhle (Kavität) hat, sollte diese vorher behandeln lassen.
Wenn es Ihnen „nur“ um weissere Zähne geht, kann alternativ auch ein Bleaching eine Option sein, eine Zahnaufhellung mit chemischen Substanzen. Weitere Alternativen zu Veneers können Kunststoffaufbauten, eine Kunststofffüllung oder eine Zahnkrone sein.
Wir beraten Sie in unserer Praxis gerne für die richtige Entscheidung und nehmen uns die Zeit, alle Optionen für schönere und gleichmässigere Zähne mit Ihnen durchzusprechen.


